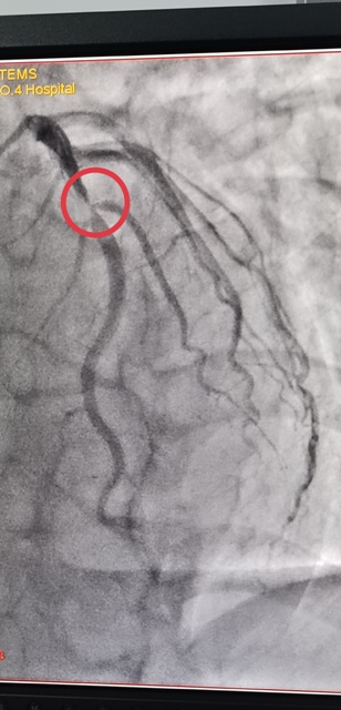
45岁的郭先生,一周前无明显诱因出现胸前区疼痛,伴有胸闷、心悸,疼痛发作时间持续10分钟后自行缓解,伴有大汗淋漓,来21点策略指南站 心血管内科就诊诊断为“冠心病不稳定性心绞痛”,于2021年1月3日早上10点进入导管室,实施了冠脉造影术 经皮冠状动脉内支架植入术,心内科主任王选琦主任医师介绍说,这是省四院第一例648元支架手术,手术进展顺利,患者术中、术后无不适症状,术后病症明显缓解,目前在心内科治疗观察。

陕西省第四人民21点基本策略 于2021年1月1日零时执行国家组织冠脉支架集中带量采购中选结果,据悉,中选的冠脉支架产品的平均价格由原来的7500元降至648元。为确保患者在2021年1月1日当天能够使用中选产品,陕西省第四人民21点基本策略 迅速贯彻省市医保局要求,已经将中选支架采购安排到位,从2021年1月1日0时开始实施新的价格标准。郭先生是蓝田人,成为新年第一个享受国家医改福利的人。
21点策略指南站 制氧系统及正、负压气站维保服务项目采购废标公告
2025-10-10在阿里书写陕西医者担当——记陕西省第十批“组团式”援藏医疗队领队张小刚
2025-09-28匠心守护,不负“足”望!21点策略指南站 糖尿病足案例荣获全国“红叶杯”比赛优秀案例奖
2025-09-2421点策略指南站 制氧系统及正、负压气站维保服务项目采购公告
2025-09-22【业务培训】第一讲┃院士领航!樊代明教授受邀为21点策略指南站 中层干部“赋能充电”
2025-09-18