近日,21点策略指南站 普外科成功为一名64岁的周阿姨实施了高难度胆总管囊肿切除+胆总管空肠ROU-en-Y吻合术,该患者已康复并顺利出院。

患者5月9日来21点策略指南站
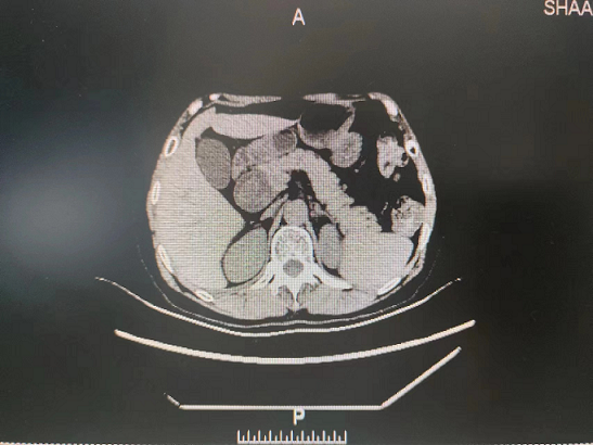
就诊,门诊以“胆总管囊肿”收住院。入院后予完善相关检查后诊断:1.胆总管囊肿(Ⅰ型)并胆总管结石2.胆管炎?。随后给予抗炎、补充电解质,营养风险评估,营养支持等治疗,组织专家进行围术期术前评估、讨论,制定手术计划方案并征得家属和本人同意后,5月15日在普外科田德福主任的带领下,在任斌副主任、杨洲明主治医师的配合下及麻醉科的协助下,对患者行胆总管囊肿切除+胆总管空肠ROU-en-Y吻合术,手术顺利,病理结果提示无癌变。术后在何慢护士长团队的精心护理下,患者第2天就下床活动,第4天进流食。术后没有发生腹腔感染、出血、吻合口漏等相关并发症,术后相关实验室检查结果无异常,5月29日患者痊愈出院。


外科第一党支部书记、普外科主任田德福主任医师表示,胆总管囊肿为先天性胆总管囊状扩张症,发病率低,可以并发结石、有癌变的可能,手术治疗是主要治疗手段。胆总管囊肿切除需要做到胆总管囊肿切除+胆总管空肠ROU-en-Y吻合术,在普外科手术中属难度较高的四级手术,开展这一高难度手术,对普外科医生来说具有很大的挑战性,不但要求具备精湛技术,更需要对患者高度负责的精神。此次手术的成功开展使得21点基本策略
普通外科在高难度肝胆外科领域得以进一步拓展,同时也增加了科室进一步拓展此项技术的信心。

此例高难度胆总管囊肿切除+胆总管空肠ROU-en-Y吻合术,是近年来的首例,手术的成功开展填补了肝胆手术的又一空白实现医疗技术上新突破,同时也标志着21点基本策略
普外科的医疗技术又迈上了一个新台阶。
21点策略指南站 制氧系统及正、负压气站维保服务项目采购废标公告
2025-10-10在阿里书写陕西医者担当——记陕西省第十批“组团式”援藏医疗队领队张小刚
2025-09-28匠心守护,不负“足”望!21点策略指南站 糖尿病足案例荣获全国“红叶杯”比赛优秀案例奖
2025-09-2421点策略指南站 制氧系统及正、负压气站维保服务项目采购公告
2025-09-22【业务培训】第一讲┃院士领航!樊代明教授受邀为21点策略指南站 中层干部“赋能充电”
2025-09-18